
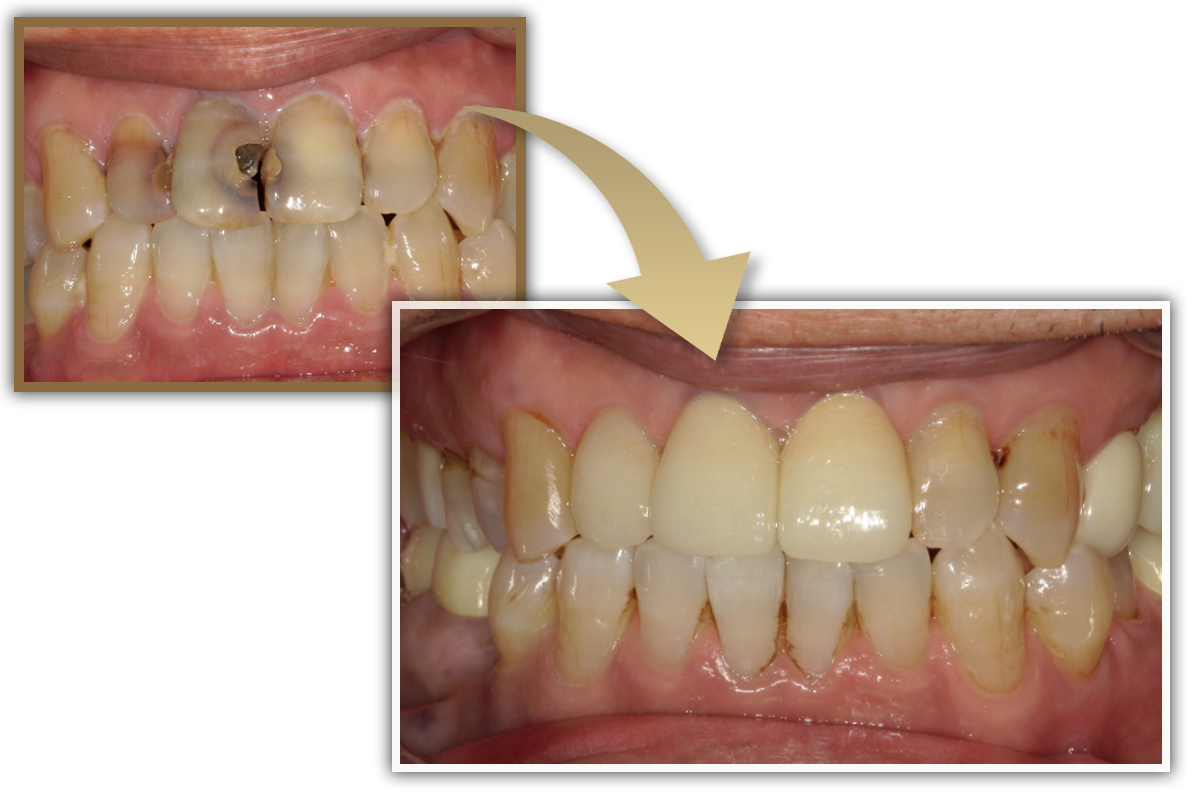
あなたが治療を諦めていた「理由」はなんですか? 当院は、そのすべてのハードルを取り払うために設計された、「短期集中治療」に特化したプライベートクリニックです。 高難度のインプラント、精密な根管治療、審美治療まで、あらゆる高度な治療を最適に組み合わせ、まるで「二人三脚」で歩むようにオーダーメイドの治療計画をご提案。 確かな技術を持つドクターが、こだわりの治療で短期間でのゴール達成に応えます。 「時間がない」「人目が気になる」「一般的な歯科医院が苦手」。 そんな切実な事情にこそ、私たちは深く寄り添います。 もう、我慢も遠慮もいりません。「六本木の隠れ家」で、あなただけの「理想の口元」を私たちと叶えませんか。



















